R-Clinic, s.r.o.
Hemangióm – rýchly prehľad a moderná liečba
MUDr. Janette Rapčanová
Klasifikácia kožných vaskulárnych anomálií (ISSVA 2018)
Dve hlavné skupiny so špecifickým správaním a rizikami.
Vaskulárne malformácie
- Stabilné, bez spontánnej regresie
- Chronický charakter, rast úmerne s rastom dieťaťa
Vaskulárne nádory
- Benígne
- Lokálne agresívne a hraničné
- Malígne
Vaskulárne malformácie
Prehľad základných typov podľa postihnutého cievneho systému.
- Kapilárne malformácie (napr. naevus flameus)
- Venózne malformácie
- Lymfatické malformácie
- Arteriovenózne malformácie
- Kombinované malformácie
Vaskulárne nádory
Benígne cievne nádory
- Infantilný hemangióm
- Kongenitálny hemangióm
- Tufted angióm
- Pyogénny granulóm
- Epiteloidný hemangióm
- Spindle-cell hemangióm
Lokálne agresívne a hraničné
- Kaposiformný hemangioendotelióm
- Retiformný hemangioendotelióm
- Papilárny intralymfatický angioendotelióm (tumor Dabskej)
- Kompezitní hemangioendotelióm
- Pseudoemyogénny hemangioendotelióm
- Polymorfný hemangioendotelióm
- Hemagioendoteliom inak nespecifikovaný
- Kaposiho sarkóm
Malígne cievne nádory
- Epiteloidný hemangioendotelióm
- Angiosarkóm
Vaskulárna malformácia
Regresia nie je možná – GLUT-1 (-)
- Slow flow
- Fast flow
- Complex & combined
- Port-wine stains
- Sturge-Weber syndrome
Vaskulárne tumory
Možná regresia – GLUT-1 (+/-)
- Infantilný hemangióm (PHACE – SACRAL synd.)
- Iné (RICH, NICH, tufted angióm, Kaposiform HE, Kasabach-Merritt)
Névus simplex
Névus simplex je tiež známy ako makulárna škvrna, lososová škvrna, anjelský bozk alebo bocianie uhryznutie.
- Veľmi časté: 40 – 60 % novorodencov.
- Prítomné pri narodení, najčastejšie na čele, glabele, horných viečkach a zátylku.
- Menej časté miesta: chrbát, nos, horná/dolná pera a okcipitálna/parietálna časť pokožky hlavy.
- Lézie sa líšia farbou od ružovej po červenú, často s nejasnými okrajmi.
- Väčšina lézií spontánne vybledne v priebehu 1 – 2 rokov.

Névus flammeus
Névus flammeus je tiež známy ako škvrna od portského vína.
- Menej časté: 0,1 – 0,3 % novorodencov.
- Cievna malformácia prítomná pri narodení, typicky jednostranná alebo segmentálna.
- Lézie neustupujú; rastú úmerne k rastu dieťaťa a tmavnú v dospelosti.
- Súvisí so syndrómami: Sturge-Weber, Klippel-Trenaunay, Parkes-Weber, Proteus.

Pyogénny granulóm / lobulárny kapilárny hemangióm
- Reaktívna proliferujúca lézia.
- Najčastejší cievny nádor u detí, 42 % vzniká behom prvých 5 rokov života.
- Solitárna, rýchlo rastúca papula alebo nodulus.
- Povrch môže exulcerovať a krvácať.
- Nemizne spontánne.
- TH: kyretáž/elektrokoagulácia, CO2 laser, farebný laser, kryo.

Kongenitálny hemangióm
- Prítomný pri narodení.
- RICH – tuhé namodrasté noduly s lesklým povrchom, regredujú v priebehu 1. roka.
- NICH – plochšie, oválne, ružové až vínové s teleangiektáziami a anemickým lémom – neregredujú.
- PICH – neregredujú úplne.
- GLUT1 – negatívny.
Infantilný hemangióm – rôzny klinický pohľad
Rôzne lokalizácie a morfológia v klinickej praxi.

Infantilný hemangióm
Definícia
Benígny rastúci zhluk krvných cievok a cievnych buniek v koži.
Source: Hemangioma Investigator Group – iqb.es
Infantilný hemangióm: charakteristika
Podľa typu, rozloženia a lokalizácie.
Podľa typu
- Povrchový
- Hlboký
- Kombinovaný
Podľa rozloženia
- Segmentárny
- Lokalizovaný
Podľa lokalizácie
- Hlava
- Telo
Neexistuje oficiálna klasifikácia – nový rozvoj znalostí v oblasti IH. Holland K. E. – Dermatol Clin 31 (2013) 289–301.
Infantilný hemangióm: typy
Tri hlavné klinické formy s typickou dynamikou.
55% – Povrchový „jahoda“
- Jasne červené lézie
- Guľaté papuly, noduly červenej farby
- Nerovný povrch
30% – Hlboký „kavernózny“
- Postihnuté hlboké vrstvy dermis a hypodermis
- Namodralé sfarbenie kože, noduly
- Hladký povrch
15% – Kombinovaný
- Prítomné rysy hlbokého a povrchového IH
- Často červené lézie pokrývajúce modré noduly
Všetky IH sú na dotyk teplejšie
Holland K. E. – Approach to the Patient with an Infantile Hemangioma – Dermatol Clin 31 (2013) 289–301.
Rozloženie typov IH
Niektoré hemangiómy môžu byť multifokálne. Viac ako 5 lézií = možnosť ďalších vnútorných/viscerálnych ochorení.
Horii KA et al – Pediatr Dermatol – 2011 – 245-53
Segmentárny hemangióm = vysoké riziko
- Funkčný kompromis
- Deformity
- Ulcerácie
- Vysoká naliehavosť terapie


PHACE syndrome
- je asociácia medzi IH a malformáciou očí, srdca, veľkých artérií a mozgu.
- bol prvýkrát popísaný Dr. Ilona Freidan v roku 1996.
- Posterior fossa brain malformations
- Haemangiomas, particularly large, segmental facial lesions
- Arterial anomalies
- Cardiac anomalies and coarctation of the aorta
- Eye abnormalities and endocrine abnormalities
LUMBAR syndróm
Suspect if large hemangiomas on lower body.
SACRAL
- Spinal dysraphism
- Anogenital
- Cutaneous
- Renal and urological anomalies
- Angioma of lumbosacral
PELVIS
- Perineal hemangioma
- External genitalia malformations
- Lipomyelomeningocele
- Vesicorenal abnormalities
- Imperforate anus
- Skin tag
Epidemiológia
Najčastejší detský tumor s výraznou prevahe u dievčat.
Rizikové faktory
- Nízka pôrodná váha (25% narodených detí < 1,5 kg)
- Vyšší vek matky
- Dievčatká
- Kaukazská rasa (genetika?)
- Predčasne narodené (25–29 weeks)
- Viacpočetné tehotenstvá
- Placenta previa (vcestné lôžko)
- Preeklampsia
- Hypoxický stres
- Rodinná anamnéza IH (genetika?)
Hemangióm: vývojové fázy
Zahajovacia fáza → proliferácia & plateau → involúcia.
Bauland G. – Untreated IH: growth pattern and residual lesions – PRS Journal – 2011
*Chang LC et al. Growth characteristics of IH: implications for management. Pediatrics – 2008
**Tollefson M et al. Early growth of IH: what parents’ photographs tell us. Pediatrics – 2012
Lokalizácia
Infantilný hemangióm: body map
- Tvár (40 %) – krk (20 %) = 60 % prípadov
- Podľa body map calloutu: tvár, nose-lip-neck, „beard“, forehead, ears
- Oblasť pŕs
- Diaper area
- Limbs – Hands
Diagnostika – klinický algoritmus
Klinické vyšetrenie doplnené o zobrazovacie metódy.
Hlavné diagnostické kritériá
Hlboká podkožná hmota
Hypoechogenic & hypervascularized tumor
Hlboká expanzia, viscerálne lézie




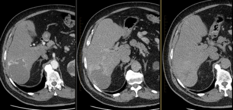
Liver Hemangioma – http://www.radpod.org/2011/08/04/liver-haemangioma/ | Restrepo R et al. Pediatr Radiol;41:895-904
Následky ochorenia
Klinické spektrum: IH a malformácie
Mnohopočetné hemangiómy, vaskulárne malformácie a klinické príklady.

Infantilný hemangióm – liečba ochorenia
- Život ohrozujúce stavy
- Riziko ohrozenia funkčnosti
- Riziko trvalých jaziev alebo znetvorenia
- Exulcerovaný IH, bolestivý, nereagujúci na ošetrenie rán
Drolet B. A. et al – Pediatrics – 2012
Kedy a prečo liečiť?
Infantilný hemangióm rastie najrýchlejšie medzi 1. a 2. mesiacom veku dieťaťa.
Priemerné u 50 – 69 % prípadov
Reziduálne lézie zahŕňajú: teleangiektázie, fibrotizované tkanivo, nadbytočné tkanivo, anetodermiu, zmeny pigmentácie kože alebo jazvy.


Liečba infantilného hemangiómu: vývoj
Posun od kortikosteroidov k propranololu.
Kortikosteroidy
Interferon α
P.D.L. Laser
Vinkristin
Propranolol
Diagnostika hemangiómov a cievnych malformácií
- Anamnéza – začiatok ochorenia
- Klinický obraz – vzhľad a dynamika zmien
- Laboratórne nálezy – hemokoagulácia (fibrinogén, D-diméry)
- Sonografické vyšetrenie – MR, MR-angio
- DSA – detailnejšie vyšetrenie, menej často CT
- Histologické vyšetrenie
- Molekulárna genetika – mutácie, napr. PIK3, TEK
Kortikosteroidy
- Štartovacia dávka 2–6 mg/kg/deň
- Niekoľkomesačná liečba
- Významné vedľajšie účinky
- Obtiažne vysadzovanie
- Mechanizmus účinku nie je známy (inhibícia vaskulogenézy, vazokonstrikcia?)
Historicky prvá systémová terapia pred nástupom propranololu.
Intralezionálne steroidy
- U lézií od 3 cm
- Často nutná opakovaná aplikácia
- Dobrý efekt u ulcerujúcich lézií
Lokálna aplikácia s dôrazom na kontrolu účinku a vedľajších prejavov.
Interferon alfa
- Hlavná indikácia pri obštrukcii dýchacích ciest
- Dávka 3 mil IU/m2/deň s.c.
- Vedľajšie účinky: teploty, hnačky, neutropénia
Rezervná terapia pri kritických indikáciách.
Cytostatiká
- Vinkristin – u agresívnych hemangiómov a K-Ms
- Skúsenosti iba z kazuistík
- Aplikácia v týždňových intervaloch, dĺžka liečby sa líši
Používa sa v špecifických, komplikovaných prípadoch.
Objav roku 2008… Christine Léauté-Labrèse
Objav účinku propranololu a regulačné míľniky.
Objav účinku propranololu
PATENT Indikace & Forma
Marketing approval
Hemangiol®
Propranolol
- Magistraliter prípravky
- HEMANGIOL
- Lokálny propranolol / magistraliter
Prelom v systémovej terapii IH s predvídateľným účinkom.
IHReS – Infantile Hemangioma Referral Score
Každú charakteristiku označte symbolom áno alebo nie.
IHReS – klinické otázky
Nový štandard v liečbe
Propranolol 3.75 mg/mL – perorálny roztok.
Ďakujem Vám za pozornosť
Otázky a diskusia.